PH 831-646-8661
665 Munras Avenue, Suite 220 | Monterey, CA 93940
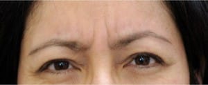
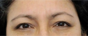
Botox
Visit Monterey forYour Next Surgery
Fill in this simple form to request a date for a consultation and our office staff will get back to you ASAP.
I agree to the Terms of Use
Δ